Enunciados de questões e informações de concursos

Prefeitura Municipal de Santana de Parnaíba
Questão 1 de 1
Matéria: Odontologia
Assunto: Sem classificação

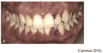
Analise a imagem abaixo para responder à questão.

 

A imagem demonstra uma garota de 13 anos de idade com inflamação papilar e marginal exacerbada por hormônios, com profundidade de bolsa de 1 a 4 mm, com mínima perda de inserção clínica, portanto, é correto afirmar que a avaliação foi feita por uma vista



spinner
Ocorreu um erro na requisição, tente executar a operação novamente.